網膜とは目の中でスクリーンの役割を果たす部位を言い、その中心にあるのが黄斑(おうはん)です。
黄斑に新生血管ができたり、血管がつまったりすると、網膜に出血や水がたまり、網膜の形が変形して視力が低下します。
当院では黄斑専門外来があり、黄斑の病気を専門とする眼科医師が予約制で診察に当たっています。
加齢黄斑変性
加齢黄斑変性は、網膜もしくは脈絡膜に新たな血管ができる新生血管型加齢黄斑変性と、
新生血管は伴わないが網膜が徐々に傷んでいく萎縮型加齢黄斑変性に分類されます。
加齢黄斑変性は加齢とともに発症しやすくなり、日本では50歳以上の80人に一人の割合で起こるといわれています。
高齢化を背景に患者数は増加しています。

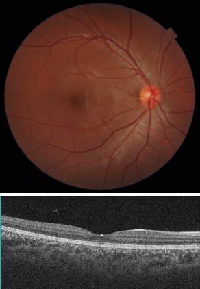
下図 / 正常なOCT

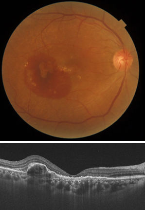
下図 / 加齢黄斑変性のOCT図
加齢黄斑変性症の症状
- 視力の低下
- 見たいところがぼやけて見える。
- 見たいところが歪んで見える。
- 物が欠けて見える。



加齢黄斑変性のタイプ
滲出型

黄斑部に異常な血管(新生血管)が生えてくることによって起こるタイプです。
新生血管は破れやすいため、出血したり、血液中の成分が漏れ出すことがあります。このタイプは病状の進行が早く、急激に視力が低下するので、早期の治療が必要です。日本人には滲出型が多いです。
萎縮型

加齢により黄斑部の網膜の細胞が徐々に萎縮し、減少していくタイプです。
滲出型に比べると病状の進行はおだやかです。しかし新生血管が発生することがあるため、定期的に検査を受けることが大切です。
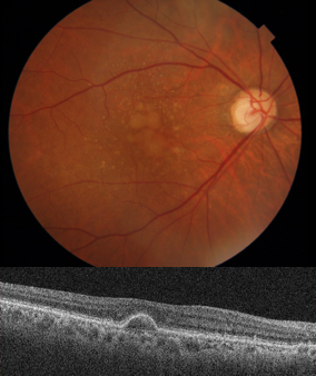
ドルーゼン

眼底に黄白色のドルーゼンと呼ばれる病変が見られる場合があります。
ドルーゼンは新生血管型と萎縮型の両方の加齢黄斑変の危険因子です。
ドルーゼンを指摘された方は定期的な眼底検査をお勧めします。
加齢黄斑変性の検査
三次元眼底画像解析装置(OCT)

網膜の断面を観察して、網膜やその下の新生血管などの状態を立体的に観察します。
OCTアンギオグラフィー(OCTA)

造影剤を用いることなく、網膜・脈絡膜血管内の血流の様子を可視化することができます。
加齢黄斑変性の治療
滲出性加齢黄斑変性は病気の進行が早く、視力が著しく低下してから治療を開始しても、視力を回復することは難しい病気です。
しかも両目になることもありますので、片目だから大丈夫と放置せず、しっかり治療することが大切です。
定期的な検査と治療を続けることで、症状の進行と視力の低下を防ぐことが可能です。
抗VEGF薬硝子体内注射
加齢黄斑変性の発症に深くかかわっているVGEF(血管内皮増殖因子)という物質の働きを抑える薬が開発されました。この薬を目に注射することで、加齢黄斑変性の原因である、新生血管の増殖を抑えることが可能になってきました。
注射による重篤な副作用として脳卒中や心筋梗塞が知られていますので、以前に脳卒中や一過性脳虚血発作、心筋梗塞や狭心症と診断されたことのある方は、お知らせください。

抗VEGF薬の種類
薬剤によって効力・投与回数・金額などが違います。どの薬にするかはご相談しながら決めていきます。
現在使うことができる薬
- ルセンティス
- アイリーア(2mg・8mg)
- ベオビュ
- ラニビズマブBS
- バビースモ
抗VEGF薬治療にかかる費用
抗VEGF治療は薬液が高額なため、経済的な負担が大きくなります。
医療機関を受診した際、一定額を超えて一部負担金を支払った場合には、高額療養費制度を利用することができます。一月あたりの一部負担金の限度額(自己負担限度額といいます)は、年齢、所得ごとに定められています。詳しくはお問い合わせください。
高額療養費制度の申請の流れ
治療の流れ
注射部位への感染を予防するため、3日前から抗菌薬の目薬を点眼します。
抗VEGF薬注射スケジュール
導入期には月に一度注射し、3,4か月繰り返します。
その後の治療は、診察や検査で治療の効果を確認しながら、必要に応じて注射をします。
(患者様の状態によって注射の回数、治療の間隔は異なります。)
投与方法の実例
注射後の注意
- 感染を防ぐために、抗菌剤は3日間点眼します。
- 目に不快感があっても、こすらないようにしてください。
以下の症状が出た場合はご来院ください。
- 目の充血が強い
- 目が痛い
- 目やにがでる
- いつもよりまぶしい
- 飛蚊症が強くなった
- ぼやけたり、ゆがんだり、視力の低下を感じる
生活上の注意
喫煙は発症のリスクを高めます。もう片方の目にも発症する可能性がありますので、できるだけ早く禁煙することが大切です。
栄養バランスのとれた食事をすることも大切です。
日光にあたるのもよくないです。つばひろの帽子やサングラスを使いましょう。
日ごろからアムスラーチャートを用いて、異常がないか片目ずつチェックしましょう。

加齢黄斑変性よくある質問
抗VEGF薬注射を打つことで視力は上がりますか?
発症して早期に治療をすれば、病変が改善され、見え方もかなり良くなることはあります。しかし治療が遅れると、視力を維持することが難しく、ゆがみや真ん中が暗く見えるなどの自覚症状が残ります。
視力低下を抑えるには、早期発見、早期治療が何より大切です。
自分でできるチェック方法はありますか?
片目ずつ、カレンダーなど格子状のものを見て、ゆがみや視力の低下がないかをチェックすることができます。上記のアムスラーチャートを活用するのも良いでしょう。
もう片方の目に発症する可能性はありますか?
加齢黄斑変性のタイプによっては高率で両目に発症します。治療中の目だけでなく、もう片方の目も定期的に検査を受けることが必要です。
抗VEGF薬注射の治療はいつまで続くのでしょうか?金額が高額なので心配です。
抗VEGF薬治療の目的は新生血管の活動性を抑え、新生血管からの出血や水もれをなくすことです。抗VEGF薬で新生血管を消失させることはできないため、定期的に注射を受ける必要があり、基本的には終わりのない治療になります。その時々の経済状況、全身状態、通院にかかる労力などをお聞きしながら、できる限り患者様の視機能維持に努めて参りますので、何でも相談して下さい。
予防法を教えてください。
喫煙は、修正可能な加齢黄斑変性の危険因子のうち、最も重要なものですので、喫煙している人は禁煙しましょう。また、短波長の可視光線から目を守ることも大切です。短波長をカットする特殊なレンズを使った眼鏡をかけるなどすると、目へのダメージを抑えられます。黄斑を守る成分として、ルテインという色素も有用です。ルテインは緑黄色野菜や果物に多く含まれているので、バランスの良い食事やルテイン含有サプリメントを取ることも加齢黄斑変性の予防につながります。
黄斑外来について
黄斑外来は原則として予約制です。
月曜日午後(月1回)金曜日午後(第2, 第4)土曜日午前(第1, 第3)に予約制で行っております。
初診の方は一度受診していただき、諸検査を受けてからの予約となります。