マイボーム腺機能不全とは?
瞼の裏側にはマイボーム腺という器官があり、脂質を分泌しています。マイボーム腺から分泌される脂質は涙液の蒸発を抑え、眼の潤滑油として、眼の表面を守っています。マイボーム腺機能不全とは、マイボーム腺の中で皮脂が固まり、油分が排せつされなくなって起こる病気です。なかなか治らない結膜炎やドライアイの原因として、最近注目されている疾患です。
症状

- 常に目がしょぼしょぼ、ごろごろする
- 目ヤニが出ている感じがする
- 目が乾く
- 目が痛い


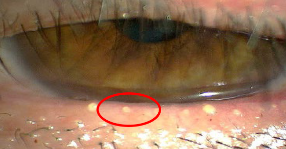
所見
■眼瞼の縁に白い分泌物がみられる
(赤い丸印)
■マイボーム腺の開口部が不整になっている
(白い丸印)

■親指による圧迫でマイボーム腺から白い皮脂が出てくる
(赤い丸印)

■正常な皮脂は透明ですが、マイボーム腺分泌不全の方の皮脂は白濁しています。
(白い丸印)
マイボーム腺が詰まると、眼の表面の油層が減少します。
油層が減ると涙液の蒸発量が増加し、蒸発亢進型ドライアイとなります。

ご自身で行う日常的な治療

①目薬
(抗菌剤・ヒアルロン酸・ジグアス・ムコスタなど)
②瞼を温める
(蒸しタオルやホットアイマスク)
③アイシャンプーなどを使って睫毛の根元をやさしくマッサージします。
眼を温めたあとすると効果的です。毎日継続することが大切です。
やり方をご指導します。



当院で行う治療

ホットアイマスクで目を温めてから、痛み止めの点眼をします。
マイボーム腺圧出セッシで瞼の縁を圧迫し、皮脂を押し出します。(白い丸印)
古く目詰まりしていた皮脂を除去することで、新しい正常な皮脂が産生しやすくなります。
定期的に行うことが大切です。
治療をご希望の方はお申し出ください。