ぶどう膜炎とは?

ぶどう膜炎とは、眼の中の虹彩・毛様体・脈絡膜からなる、非常に血液の多い部位「ぶどう膜」に炎症が起こる病気です。
急に見えなくなることがある病気です。
症状
- 目がかすむ
- 目が赤くなる
- 目が重い、痛い
- 虫が飛んで見える
などいろいろな症状が出ます。片目だけの場合や両眼のこともあります。
原因
サルコイドーシス、原田氏病、ベーチェット病などの全身の免疫異常が原因のこともありますので全身の検査が必要です。
| ぶどう膜炎の頻度 2012年 Sonodaら2021 全年齢5,378例 | |
|---|---|
| 1:サルコイドーシス | 10.6% |
| 2:Vogt-小柳-原田病 | 8.1% |
| 3:ヘルペス性虹彩毛様体炎 | 6.5% |
| 4:急性前部ぶどう膜炎 | 5.5% |
| 5:強膜ぶどう膜炎 | 4.4% |
| 6:Behcet病 | 4.2% |
| 7:細菌性眼内炎悪性リンパ腫 | 2.6% |
| 8:その他のぶどう膜炎 | 21.5% |
| 分類不能 | 36.6% |
①サルコイドーシス

肉芽腫が全身の臓器に作られる病気です。肉芽腫は心臓・腎臓などに生じ、リンパ節の腫れを伴います。
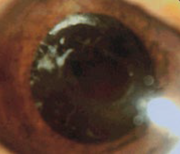
虹彩や毛様体に結節(小さな隆起物)隅角にテント状の癒着ができることが特徴的です。眼底にも炎症が起こり、玉状の硝子体混濁や血管炎を起こします。胸部X腺検査で肺門のリンパ節の腫れがみられることが特徴的です。
②原田氏病
メラニン色素を産生するメラノサイトという細胞に対して慢性的に炎症が続く自己免疫疾患の一つです。20-40歳の女性に多いです。網膜に強い浮腫や混濁が起こり、視神経炎や網膜剥離も起こすことがあります。
頭痛・耳鳴り・難聴・風邪症状などいろいろな症状がでます。経過中に皮膚の白斑や白髪がでることもあります。
③ベーチェット病

皮膚・目・粘膜・内臓・血管・神経などに炎症を起こす全身性の免疫疾患です。発症年齢は20-40歳代に多いです。4大症状として再発性の口内炎・皮疹・外陰部潰瘍・目のぶどう膜炎があげられます。
前房に膿がたまる前房蓄膿を起こすのが特徴的です。虹彩炎が繰り返し起こるので、白内障や緑内障、硝子体混濁や網膜剥離を起こして失明することもあります。しかし現在は有効な薬が発見されて失明する人は減っています。
ぶどう膜炎の診断
問診・眼科的検査・全身検査所見から総合的に診断する必要があります。
しかしよく調べてもぶどう膜炎の原因がわからないことが多いです。最初は診断に至らない場合も、経過と共に診断されることもあります。
治療
原因がはっきりわかっている場合はその病気に合った治療をします。
原因がわからない場合でも、炎症を抑えて視力障害につながる合併症を抑えることが大切です。
①ステロイド点眼
リンデロン・フルオロメトロンの点眼薬で炎症を抑えるのに有効です。炎症の程度に合わせて点眼回数や濃度を調節します。
②散瞳剤
炎症を抑えるため、虹彩が水晶体に癒着するのを防ぐために、散瞳剤が使われます。
癒着して、瞳孔が開かなくなったり、白内障になったりするのを防ぎます。
③ステロイドのテノン嚢下注射

点眼だけでは炎症を抑えられない場合は、ステロイドのテノン嚢下注射が有効です。
テノン嚢下注射の方法
- 点眼麻酔をします。
- 小さく結膜のテノン嚢を切ります。
- ステロイドを注射します。
④ステロイドの内服や点滴
さらに強い炎症がある場合、ステロイドを内服したり、点滴したりします。
●ぶどう膜炎は良くなったり悪くなったりを繰り返し長引くことが多いので定期的な通院が必要です。
薬を使ってよくなったとしても、自己判断によって急激にお薬をやめると炎症が再発することがあります。医師とよく相談して減量してください。