角膜は目の表面にある透明な組織です。
角膜に問題が生じると、目の中への光の通り道がさえぎられてしまうため、見え方に大きく影響します。
また神経が張り巡らされているため、痛みに敏感な組織です。
当院では角膜疾患・ドライアイを専門とする医師が予約制で診察いたします。
角膜・結膜の感染症
細菌による角膜感染症

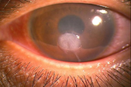
細菌によっておこる角膜炎です。ゴミや砂などの異物が目に入ったり、コンタクトレンズ装用で角膜に傷がついたりした時などに起こります。放置すると失明の危険がありますので、一刻も早い治療が必要になります。
治療
抗菌剤の頻回点眼と全身的な投与が行われます。
真菌による角膜感染症
カビ(真菌)によっておこる角膜炎です。植物などによる外傷、ソフトコンタクトレンズの連続装用、ステロイド剤の長期点眼などにより起こることがあります。細菌性のものと角膜炎と識別をすることが大切です。
治療
抗真菌剤の投与が必要です。
角膜ヘルペス
ヘルペスウイルスの多くは子供のころ初感染を起こし、身体の中の神経組織にひそむようになります。
一旦、神経組織(神経節細胞)にひそんでいたウイルスは、発熱、紫外線被爆、ストレスなどをきっかけにして再び活動を開始し、角膜へ移動して角膜炎を起こします。病変が急に角膜全体に広がることがあるので注意深く治療することが大切です。
治療
抗ウイルス剤の軟膏による治療を行いますが、再発を繰り返す例もあります。
アカントアメーバ角膜炎
池や沼などの淡水に広く分布するアメーバという目に見えない微生物によっておこる角膜炎です。
日常の手入れに問題があり、アメーバにより汚染されたコンタクトレンズを装用することによっておこります。
治療
抗真菌剤による治療を行います。
ドライアイ
症状
眼が充血する・ごろごろする・開けにくい・目が疲れる・かすむ
検査
角膜・結膜の観察
フルオレスセインという染色液で目の表面を染色し、目の表面にある傷や涙のたまり方の観察、瞼のこすれ具合を詳しく観察します。

重度の涙液量減少

角膜表面の水濡れ性低下
膜型ムチンの低下

蒸発亢進
涙液層破壊時間検査法(BUT)
フルオレスセインを点眼して、目の表面の涙液層が破壊されるまでの時間を測ります。ドライアイの方は短くなります。
涙の量の測定(シルマーテスト)
紙を目に挟んで涙液の分泌量を測ります。
涙液油層観察装置(DR1)
目の表面の油層の観察をします。

干渉色が灰色一色で縞模様が認められない

灰色以外の干渉色が認められる

角膜表面の少なくとも一部が露出している
治療
涙は3層(油層・涙液層・ムチン層)でできています。
層のどこに問題があるかを調べて、適切な治療をすることが必要です。
- 足りない涙を補う
人工涙液やヒアルロン酸 - 涙液の質を改善する
涙の量を増やす効果が期待できる薬(ジグアス)涙の成分中のムチンを増やす薬(ムコスタ)を使って、涙の質を改善します。
ムチン層は涙をつなぎとめる大切な層です。ムチンを出す治療を行うことで、涙がとどまる時間が長くなり、乾きが改善します。
ムコスタは点眼後白く見える、口の中が苦くなるという欠点がありますが、最低でも2週間は使ってみることをお勧めします。
どの薬が治療に適しているかよくご相談しながら、選択します。 - 涙点プラグ
点眼薬で改善しない場合、目頭の涙点に、プラグを挿入してふたをし、涙が排出しないようにします。簡便で高い効果があります。ゴロゴロするなどの違和感がある場合、簡単に取ることもできます。
涙点プラグの手順
涙点プラグの費用
基本的には両眼上下に2個ずつ挿入します。上下に入れた方が効果的です。
両眼上下に入れて、3割負担の方で約8000円かかります。



原因
長時間パソコンやスマホを見続ける、エアコン、寝不足、薬の服用などが原因になることもあります。
患者様一人一人の生活環境の中に原因となるものを探し、指導いたします。
角膜ドライアイ外来は毎週水曜日午後です。原則予約制ですので、予約してからご来院ください。